三ノ宮の神戸国際会館13階の歯医者。各方面からのアクセスを抜群!

〒651-0087 兵庫県神戸市中央区御幸通8丁目1-6 神戸国際会館13階
JR「三ノ宮」駅徒歩5分 /さんちか直結・阪神「神戸三宮」駅徒歩2分

診療時間 09:00~13:00 / 14:00~18:00休診日 土・日・祝

神戸・三ノ宮にある木村歯科は開業して、50年以上経ちました。開業当初より、「健康なお口元を守り続けたい」というおもいを胸に、これまでたくさんの小さいお子様からご年配の方まで幅広い年齢の患者さまのお口の中の健康の管理に従事してきました。これからもみなさまが素敵な笑顔で美味しく食事ができるお手伝いをしながら、共に歩んでいきたいとおもっています。

神戸市中央区JR「三ノ宮」駅から徒歩5分・さんちか直結/、阪神「神戸三宮」駅徒歩2分。「アクセス抜群」の木村歯科。お口の中の状況が悪くならないように取り組む予防歯科にも特化し、治療が必要な場合は、あらゆる状況に対応できるよう、治療精度を高める精密機器(CT・マイクロスコープ)を完備し、わかりやすい治療説明により安心して総合的な歯科治療を受診していただける体制を構築しています。

FEATURES

歯の健康は、人生の質(QOL)を変える。「歯医者さんは『治す場所』から『健康を確認する場所』へ。」心地よい予防ケア、始めませんか?笑顔に自信を。一番身近な美の習慣、予防歯科。

『こんなこと聞いてもいいの?』。その質問こそ、私たちが一番大切にしたいことです。一番大切なのは、患者さまの意思です。お互いに話し合い、最善の治療法を決定するオーダーメイドの治療計画。

精密な治療には欠かせない歯科用顕微鏡。当院では20年前から導入し、海外研修で学んだことを活かし、日々の治療に役立てています。悪いところだけを取り除くので、痛みも少なく、治りもはやくなります。

歯の健康は、人生の質(QOL)を変える。「歯医者さんは『治す場所』から『健康を確認する場所』へ。」心地よい予防ケア、始めませんか?笑顔に自信を。一番身近な美の習慣、予防歯科。

真摯に向き合い
誠実に治療を行います

お口元の機能と自信を取り戻す共同作業

患者さまは様々な理由で来院されます。私たちは一人、一人の患者さまに最善の治療法を提案します。もし提案した治療法が患者さまの「思い」と異なる場合は、その治療法に患者さまは満足されません。木村歯科では患者さまとのコミュニケーションを大切にし、患者さまご自身が様々な治療法の中から、治療内容に納得され、治療結果に満足いただけるよう、お話をうかがい、提案させていただきます。

いつまでも美味しく食べられる
そして素敵な笑顔を

地域に根ざして50年。
世代を超えて選ばれ続ける、安心の理由があります。

幅広い層の患者さまに来院いただいています。

0歳の検診からシニアの入れ歯相談まで、ご家族三世代で通える地域のかかりつけ医です。一人ひとりのライフステージに寄り添い、一生続くお口の健康を支えます。

どんな世代の、どんなお悩みも。幅広い診療で、あなたの『今』に寄り添います。

可能なかぎり歯や神経を残します

Preservation

すべての歯科医院では受けられない再生療法の分野での治療法にも力を入れています。またどのような治療を行うか丁寧に説明します。よくわからないまま治療が始まるということはありません。

マイクロサージェリー

Minimum Pain

拡大視野で術後の痛みがでないよう、治癒が促進されるよう処置します。また、プライバシーに配慮し、診療室はすべて完全「半個室」になっています。他人の目を気にせず治療に専念いただけます。

「予防中心型総合歯科診療」

実践医院

「生物学的・科学的根拠」に基づいた原因を解決し、永続性ある治療法を実践します

学び続け、後進に引き継ぐ

日本臨床歯科学会大阪支部の専務理事として長年活動。師から学び、現在は後進の指導に従事するかたわら、年に数回海外に出向き、世界で活躍する一流の歯科医師から生物学的・科学的根拠に基づいた歯科治療を学んでいます。すべては出会った患者さま・歯科医師により良い歯科治療を提供したいという思いで、学びを大切にしています。

院長 木村卓哉

大阪歯科大学 卒業

1999年 木村歯科 院長

・日本臨床歯科学会大阪支部専務理事

・日本歯科補綴学会

・日本審美歯科学会

・国際外傷歯学会

・咬合・補綴治療計画セミナー講師
・大阪SJCDマイクロコースインストラクター
・ADPRインストラクター

Takuya Kimura

TREATMENT

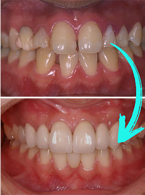
歯と歯茎の調和

見た目もよく、しっかりかめる

アライナー矯正

アライナー矯正

ワイヤーのない矯正生活

お口に優しい、矯正体験

気づかれず、美しく。透明なアライナー矯正なら、お仕事や催し物や食事の邪魔をしません。ワイヤー不要で痛みも少なく、忙しい毎日を過ごしながら理想の歯並びへ。今こそ、一生モノの自信をその手に手に入れるチャンスです。

透明な矯正アライナー

脱コンプレックス・一生モノの、輝く笑顔

予防歯科

痛くなる前に、歯科医院へ。お口の「メインテナンス」で毎日を快適に。

虫歯治療

1本でも多くの歯を残したい。再発を防ぎ、歯の寿命を延ばす最新ケア。

歯周病治療

「抜かなければいけない」と諦める前に。大切な歯を救う専門治療。

根菅治療

肉眼では見えない世界を治療する。成功率を高める精密な「根の治療」。

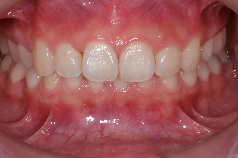
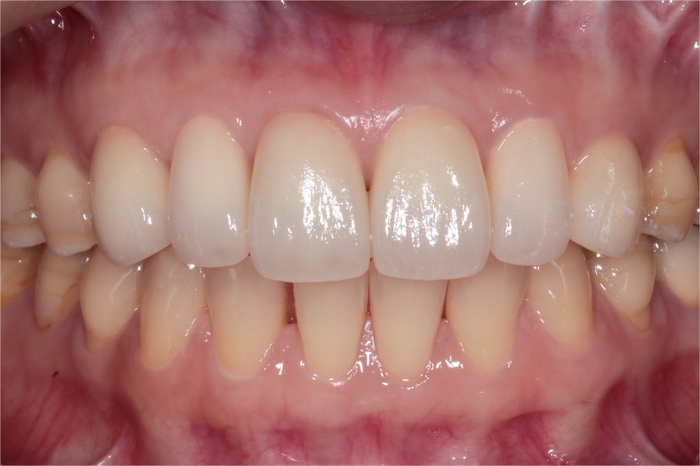
前歯の審美治療

色も、形も、オーダーメイド。あなたの個性を引き立てる自然な美しさ。

最小の削除量でのブリッジ

失った歯を美しく補う。精密な設計で、機能性と審美を両立するブリッジ。

インプラント治療

精密診断と確かな技術。あなたの不安に寄り添うインプラント治療。

矯正歯科

「矯正中」を忘れる透明感。見た目を気にせず、美しさを手に入れる。

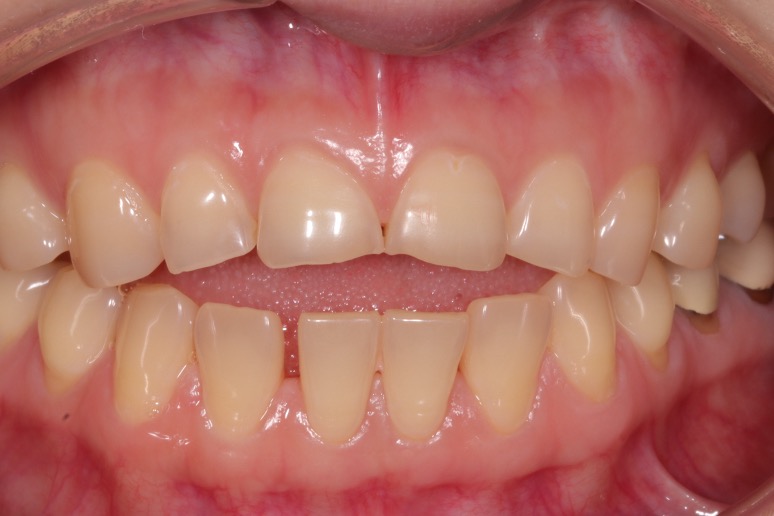
ボロボロの歯の治療

「恥ずかしい」を「安心」に。ボロボロの歯も、私たちが受け止めます。

ご自身を大切に

“お口の健康は全身の健康のみなもと”

お口にまわりに関することならどんな些細なことでもお気軽にご相談ください。

アクセス

〒651-0087

兵庫県神戸市中央区御幸通8丁目1-6

神戸国際会館 13階

☎︎:078-251-1823          

診療時間

月曜日-金曜日
09:00 am – 13:00 pm/14:00:pm-18:00pm
土・日・祝日休み